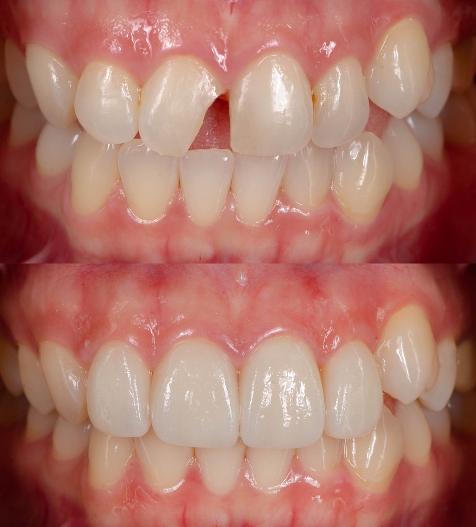
Broken Tooth Treatment in Sunnyvale, TX
A broken tooth can be a shock, but it doesn’t have to ruin your day. Getting prompt and professional care helps restore not only the function of your tooth but also your confidence in your smile. With the right dental team, you’ll feel supported and informed every step of the way. Common reasons people seek …
Read More
Tooth Ache Treatment in Sunnyvale, TX
When you’re dealing with a toothache, all you want is relief. The discomfort can make it hard to concentrate, sleep, or enjoy meals. Getting help from a skilled dentist can restore your comfort and your peace of mind. It feels good to know you’re taking care of your health and protecting your smile. Why people …
Read More
Tooth Pain Treatment Near Me in Sunnyvale, TX
A vibrant, pain-free smile is the cornerstone of confidence and well-being. When tooth pain disrupts this, it impacts more than just your oral health; it affects your daily life and overall happiness. Addressing tooth pain promptly and effectively is essential for restoring your comfort and preserving the beauty of your smile. A skilled dentist can …
Read More
Emergency Dental Appointments Near Me in Sunnyvale, TX
When you’re in pain or facing a dental emergency, your comfort matters more than ever. Whether it’s unexpected discomfort or a sudden injury, it helps to know there’s a dental practice nearby that is ready to welcome you with comprehensive and compassionate care. From the moment you call to the moment you leave, the focus …
Read More
Best Emergency Dentist Near Me in Sunnyvale, TX
When something unexpected happens to your smile, finding the best emergency dentist near you can make all the difference. A dental emergency doesn’t just affect your teeth—it can impact your comfort, your confidence, and your ability to go about your day. Quick, reliable care helps restore your smile and your peace of mind. What is …
Read More
Best Emergency Dentist in Sunnyvale, TX
When something unexpected happens to your teeth or gums, knowing where to turn makes all the difference. The best emergency dentist is someone who can help you feel calm, cared for, and confident—even in a stressful situation. Acting quickly and getting the right care can help preserve your smile and relieve discomfort fast. What is …
Read More
Dentist Accepting New Patients in Sunnyvale, TX
Finding the right dental office is one of the most important steps you can take for your health and confidence. When you know you find a good dentist accepting new patients, it gives you the opportunity to start fresh, build healthy habits, and feel proud of your smile for years to come. Why people look …
Read More
Dental Checkup And Cleaning in Sunnyvale, TX
A healthy, confident smile starts with regular care. When you make dental checkups and cleanings part of your routine, you’re not just taking care of your teeth—you’re investing in how you feel when you smile, speak, and share everyday moments. A clean, bright smile helps you feel fresh, confident, and proud of the way you …
Read More
Best Dentist Near Me in Sunnyvale, TX
Whether you’re due for a routine checkup or just moved to a new area, finding a dental office where you feel genuinely at ease can make all the difference. Your comfort matters every step of the way, and the right local dentist can help you feel confident and relaxed during every visit. Here, your comfort …
Read More
Best Dental Office Near Me in Sunnyvale, TX
Best Dental Office Near Me Your comfort as a patient should always come first, and finding a nearby dental office that makes you feel welcome and cared for can make every visit a better experience. Dental care should never feel stressful or uncertain—it should feel supportive, reassuring, and as easy as possible to fit into …
Read More